有时候观察自己牙齿的时候回发现后牙槽上有黑线,很多人以为是没刷干净其实可能是一种龋齿,窝沟龋,那么,窝沟封闭可以预防窝沟龋坏吗?下面小编就带来介绍。
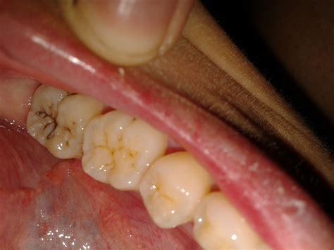
后牙槽上有黑线是什么
相信很多人的第一反应是:这是没刷干净吧?
当然,不排除没刷干净、单纯色素沉着的可能,但是有一种龋齿也会让后牙槽出现黑线——那就是窝沟龋。
窝沟龋是龋齿的一种,龋齿按不同的牙齿部位可以分为窝沟龋和平滑面龋。
我们的前磨牙和磨牙咬合面是窝状的,上面有很多沟隙,它们被称为'窝沟'。这种窝沟可以使口腔咬合面凹凸不平,增大咀嚼面积,提高咀嚼效率。
但这个窝沟有一个缺点,那就是容易使食物、菌斑滞留在这里,并且不易清洁,因此窝沟是龋齿(也就是蛀牙)最容易发生的部位。
窝沟龋的早期表现可能是一条黑线
窝沟龋早期的表现就是后牙咬合面有黑线,这个时候的牙齿龋坏(龋齿中的损坏)有可能范围较小,是仅局限于釉质的浅龋,表现为颜色改变,一般无症状,对外界刺激也无明显反应,所以很容易被我们忽视。
但如果不加以重视龋坏会扩散,就会沿着釉柱方向发展而加深,达到牙本质而形成一个口小底大的三角形,然后沿牙本质界扩散。
另外,由于釉质在窝沟底部牙厚度较薄,窝沟龋很容易进展到牙本质,造成大面积的牙齿病变,所以窝沟龋病程发展很快,程度也会比其他口腔疾病更严重。除此之外,细菌还可以通过牙本质小管到达牙髓腔,引发炎症。
所以,尽管牙的表面看起来只是一条细细的黑线,也许下面已经是又深又大的龋洞了!想要进一步确定牙齿的病变程度,只靠日常观察是行不通的,必须借助X线片进一步确诊。
窝沟封闭可以预防窝沟龋坏吗
窝沟是磨牙本身发育融合过程形成的,位于口腔磨牙的上面,凹凸不平,有利于咀嚼食物。
而窝沟封闭就是用一种高分子材料涂布于牙冠咬合面、颊舌面的窝沟点隙,将这个凹凸不平的窝沟填平,使牙面变得光滑易清洁,相当于在牙齿表面穿上一层保护衣,起到预防龋齿的作用。
窝沟封闭不损伤牙体组织,是一种无痛、无创的保护牙齿的方法。
窝沟封闭仅能预防窝沟龋病,并不能预防其他种类的龋齿。
即使做了窝沟封闭,认真刷牙、用牙线仍然非常重要,窝沟封闭只是孩子一生中没有蛀牙计划中的一小部分,刷牙、使用牙线、合理饮食、控制零食以及定期看牙医对孩子拥有灿烂健康的笑容而言仍然十分重要。
以上就是有关全部内容介绍,想了解更多信息请继续关注。
