淋病是和其它性病一样也是一种危险性极强的一种病。如果没有及时发现会会很严重。有性生活的要及时的判断。那么淋病早期症状有哪些 生活中如何预防淋病的发生。带来相关介绍。
淋病早期症状有哪些
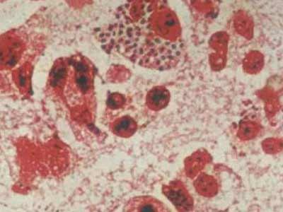
男性淋病;
1、男性急性淋病潜伏期一般为2~10天,平均3~5天。开始尿道口灼痒、红肿及外翻。排尿时灼痛,伴尿频,尿道口有少量黏液性分泌物。3~4天后,尿道黏膜上皮发生多数局灶性坏死,产生大量脓性分泌物,排尿时刺痛,龟头及包皮红肿显著。尿道中可见淋丝或血液,晨起时尿道口可结脓痂。伴轻重不等的全身症状。

2、男性慢性淋病一般多无明显症状,当机体抵抗力减低,如过度疲劳、饮酒、性交时,即又出现尿道炎症状,但较急性期炎症轻,尿道分泌物少而稀薄,仅于晨间在尿道口有脓痂黏附,即“糊口”现象。由于尿道长期存在炎症,尿道壁纤维组织增生而形成瘢痕,前尿道形成多处瘢痕时,使分泌物不能通畅排出,炎症易向后尿道、前列腺及精囊扩延,并发前列腺炎、精囊炎,甚至逆行向附睾蔓延,引起附睾炎。
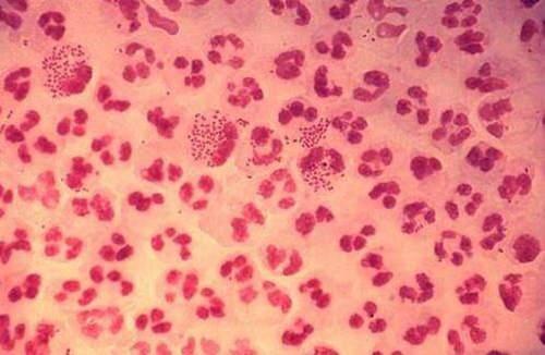
女性淋病;
女性急性淋病感染后开始症状轻微或无症状,一般经3~5天的潜伏期后,相继出现尿道炎、宫颈炎、尿道旁腺炎、前庭大腺炎及直肠炎等,其中以宫颈炎最常见。大多数的女性淋病患者存在尿道感染。淋菌性宫颈炎常见,多与尿道炎同时出现。
淋病的治疗方法有哪些
1、高能量直达病灶,杀灭病菌。治疗所产生的高效能量可渗透组织,只杀病菌不伤正常组织,避免遗留病菌,对隐深部位和其它邻近生殖器官的感染都能够彻底杀灭。
2、调节免疫功能,内防外攻。利用微粒子对免疫系统进行调节,增强白细胞吞噬作用,在一定程度上利用自身的免疫功能与外部治疗系统一起协杀病菌。
该如何预防淋病
1、进行健康教育,避免非婚性行为。
2、提倡安全性行为,推广使用安全套。
3、注意隔离消毒,防止交叉感染。
4、认真做好病人性伴的随访工作,及时进行检查和治疗。
5、执行对孕妇的性病检查和新生儿预防性滴眼制度,防止新生儿淋菌性眼炎。
6、对高危人群定期检查,以发现感染者和病人,消除隐匿的传染源。
