在你怀孕的期间,皮肤是否出现粉红色的小肿块?或是在腋下或乳房下方出现雀斑?很多的人不了解孕期的身体的变化,下面的小编为大家分享孕期的皮肤的变化,出现上述的情况这是神经纤维瘤病。对一般人来说,这种病影响不大,但对孕妇来说,会导致高血压、骨骼异常和癌症的可能,需要接受治疗。
一、怀孕期间导致神经纤维瘤的原因
1、什么是纤维瘤
神经纤维瘤病是一种遗传性疾病,大约3000~5000人中就有一个孕妇会有。神经纤维瘤病是一种基因缺陷,导致组织生长不受控制,或是神经系统长肿瘤。
2、因为遗传引起
大约有50%的神经纤维瘤病例,他们的正染色体显性突变,而这突变基因是由父母传给孩子。即使父母只有一方有缺陷基因,宝宝依然会有罹患的风险。
神经纤维瘤对孕妇影响很大。
3、因为自发突变
突变有可能是在受精之前,精子或卵子的自发突变。这案例是偶发的,因为目前还不知道什么原因可以触发它。
二、了解神经纤维瘤病的症状
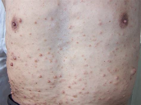
1、皮肤产生异状
此病可能会有一些皮肤病变的症状,像是在晒不到太阳的身体部位长雀斑(腋下或生殖器)、皮肤有咖啡色的痕迹、虹膜有微小肿块。
2、纤维瘤数增加
你的神经纤维瘤增加,开始在你身上任何有神经的部位,出现了粉红色、软的小疙瘩,特别是在怀孕期间增加很多。
3、丛状的纤维瘤
在你的身上正常的神经组织中,出现了纠结的神经组织,并且有丛状的神经纤维瘤。它会导致你有高血压、学习困难、骨骼问题或癌症。
三、如何诊断及治疗神经纤维瘤
1、如何诊断患病
一般而言,不可能在怀孕期间检测神经纤维瘤病,但是你可以询问遗传中心的医生,和他讨论你的病情。孕妇只要纤维瘤的数量和尺寸增加,就应立即就医。
2、详细皮肤检查
孕妇需要检测纤维瘤的数目和大小是否增加,因此需要进行详细的皮肤检查,包括检测双眼、骨骼评价、测量血压和一般健康检查。
3、利用手术治疗
手术是另一种有效的治疗方式,其中涉及摘除肿瘤和降低骨骼异常。手术后,医生可能会建议后续的放疗和化疗,但请与医生确认,务必确保胎儿安全。
4、利用药物治疗
医生可能也会开一些药物来控制你的高血压。如果你是动作有问题,医生可能会建议一个安全又有效的治疗方式。
