
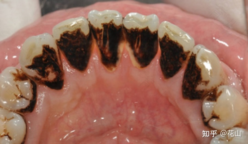
牙齿对于每个人来说都是非常重要的,牙齿对于很多人来说不仅仅是有咀嚼的作用,更重要的是外貌的主要部分。如果牙齿层次不齐,或者是非常黄的话,就会影响到一个人的形象。牙齿有蛀牙,且蛀牙出现变黑的问题是因为缺钙导致的吗?
蛀牙发黑并不一定是缺钙引起的,蛀牙没有及时的补牙或者是没有注意牙齿的清洁,就会导致牙齿发黑的情况出现。所以出现蛀牙之后需要到牙医院治疗,如果蛀牙不是很严重的情况下,需要采用补牙的方式来治疗。如果蛀牙特别严重,且发黑的话,需要拔除。
蛀牙发黑没有及时治疗,会影响到其它的牙齿,会导致蛀牙越来越严重,所以一定要特别的注意。有蛀牙的人群一定要清洁自己的牙齿,不要让牙齿里面有食物残渣,这样会让蛀牙越来越严重。饮食方面注意少吃一些甜食,不要吃容易上火的食物。

总的来说,蛀牙变黑不一定是缺钙,可以到医院检查一下微量元素,如果是缺钙的话,就要及时的补充钙质。如果是因为清洁不够,或者是没有及时补牙导致的牙齿变黑,需要马上去医院治疗。
标签:
