
智齿的萌出时间比较晚,会在十八岁左右才会逐渐萌出。智齿是很烦人的,因为它疼起来以后会让患者很难受。智齿就是口腔里靠近喉咙的牙齿,智齿生长的位置也很特殊,它会给口腔的清洁带来问题。那么到底下智齿没长出来能拔吗?
如果下智齿没有长出来,但是位置不正常,还睡伴随疼痛的话,那么建议拔掉,以免影响周边牙齿的健康。智齿很容易滋生细菌,引起牙龈发炎,导致牙齿坏掉,可以到口腔科明确一下智齿的生长形态,尽早的拔掉,以免以后反复肿痛。

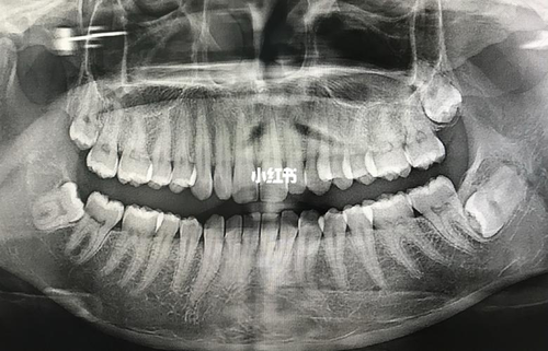
因为智齿是很特殊的牙齿,它的牙根是很深的,而且还特别复杂。所以说拔智齿一定要去正规的医院,找专业的牙科医生进行拔除。拔智齿前都会先拍片,会根据智齿的牙根在什么位置,再进行拔除。拔智齿前也要注意消炎,不能有炎症,消炎过后才能把智齿。智齿没有长全,但是已经影响到其它牙齿,就一定要拔掉,以免疼痛加重。
平时也要注意口腔的清洁,早晚都要刷牙漱口。不要总是熬夜,饮食也要清淡,不吃容易上火的食物,以免加重智齿的严重。口腔卫生清洁了,牙齿也就会更加健康。
标签:
