
人们在生活中,如果不注意口腔卫生的话,口腔是很容易出现问题的。尤其是牙痛对人们来说虽然不是大毛病,但疼起来是真的很要命的。牙痛说明牙齿出现了问题,在适当的时候可以拔牙,那么拔什么牙需要拍片?
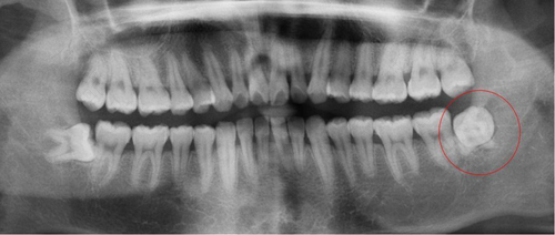
首先,成年人的牙齿已经长成,不会再有换牙的经历了,牙齿的问题也会伴随以后的生活了,如果出现的问题比较严重的话,可以在医生的指导下进行拔除。但是,智齿在口腔的最后方,拔除的话是需要拍一个口腔片的。
因为,智齿生长的位置比较特殊,深度也是比较大的,如果拔除的话,给人们带来的伤害也是比较严重的。如果有拔除需要的话,医生会建议拍片,看看是否有不适合拔除的问题。这样对身体造成的伤害会有所减少,人们不要存在侥幸心理。

其实,如果牙齿的问题不是很严重的,能够不拔牙的情况下,尽量不选择拔牙。虽然智齿对口腔的作用不是很大,但是如果没有影响的话,还是尽量不要选择拔牙。人们只要在生活中注意口腔的清洁卫生,一般不会出现太严重的问题。
标签:
