
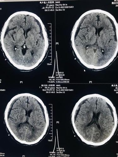
每个人都知道大脑在人体中的重要地位,因此谁也不敢小觑。不管是工作还是学习都是会用到大脑的,所以大家也对大脑格外的关心,脑壳出血可是相当严重的一件事,严重的会危及生命。那么硬脑膜下出血怎么办?
一般大脑在受到外力重击后产生外伤,留下伤口,就会产生出血的现象。如果伤口较小,出血量不多,去门诊进行简单的包扎,做好消炎和防感染的工作就够了。但是如果出血不止,伤口深且大。就必须立即去医院救治,必要的时候可以拍b超检查下,然后听从医生的建议。总之一切都要根据具体情况来办,切不可私自用药。

由于伤口需要一定的恢复时间,所以要调整好心态,保持心情的愉悦。切不可过于急躁。因为人在心情烦躁过于激动的情况下,血液会大量地流向头顶。那样就会冲击伤口,增加出血量。严重的话还会导致局部感染。注意休息,但是睡觉的时候不要挤压到伤口。对着枕头的那一方,必须远离伤口,实在不行可以选择卧睡。近期加强营养,但是千万不要吃辛或者海鲜等刺激伤口的食物。
标签:
