
现在的女性越来越注重身体健康,所以每年都会进行相应的身体检查。而子宫是女性检查身体的重要部位。有些女性会在体检时检查出子宫内膜息肉。那么,究竟子宫内膜息肉超声表现是什么呢?
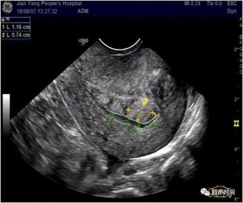
子宫内膜息肉是一种隆起型局限性增生,是在子宫内膜腺体和纤维间质所发生的瘤样病变。但是它不是真正意义上的肿瘤,多发生于女性的子宫内。而进行子宫内膜息肉超声的检查是一种简洁有效的检查方法,是常被用于临床检测的常用方法之一。

子宫内膜息肉在利用超声检测时候的表现,其声像图也可表现为不典型而呈低回声或者是一种杂乱回声,并且当子宫内膜息肉中间囊性发生变性时,其内在可见到液性小暗区。而子宫内膜较厚时,其内膜形态回声欠均匀或并不对称。这些都为子宫内膜息肉超声表现的基本形式。
子宫内膜息肉多发生于中年女性岁以上的人群较多。此症极容易造成子宫内出血的症状,宜造成女性的月经淋漓不尽或经期紊乱,以及不规则阴道出血等,因此患有子宫内膜息肉,建议要及早进行治疗和做必要的身体调理。
标签:
