
有抽烟习惯的人在闲暇的时候都会叼着烟,对于他们来说这是一种精神安慰,如果限制他们抽烟,那他们就会觉得很痛苦。但是有些特殊情况下是不能抽烟的,尤其是在身体健康出现问题之后,那拔牙后可以抽烟吗?
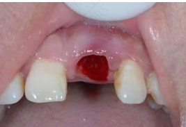
拔牙之后会在牙龈上留下一个创口,这个创口部位会形成血块,血块再慢慢的钙化形成新的骨组织,以便填充修复拔牙后的创面。如果在此时抽烟,那就会影响到这个血块的钙化,甚至导致血块脱落,让创面暴露出来,很容易发生感染,因此拔牙之后是不可以抽烟的,会影响口腔恢复。
而且烟草中还含有一些有害物质,比较典型的就是尼古丁,这些有害物质会附着在口腔黏膜表面,抑制牙龈组织的新生,增加牙周病的风险。为了不影响口腔健康,也为了让拔牙后的创面尽快愈合,建议及时的戒烟。

拔牙之后除了不能抽烟之外,还有很多其它需要注意的事项。在拔牙后的两小时之后是不能吃东西的,两小时之后也要以流食为主。二十四小时之内不要刷牙,漱口的时候也要躲避拔牙后的创面。
标签:
