
成人的恒牙数量一般都是在28颗至32颗范围之间,其中28颗牙齿是每个人都会长出来的,是必不可少的,而剩余的4颗是智齿,智齿会因人而异是可长可不长的,但智齿即便长出也容易出现长坏或发炎等问题,对此有人问到,智齿牙髓炎可以拔牙吗?
智齿牙髓炎是否可以拔掉,建议最好要到口腔医院经过检查之后再做决定,如果智齿患了牙髓炎,经过医生的判断,其炎症仅仅局限在牙髓,并没有扩散到根尖的周围,那么是可以立即将智齿拔出,但如果智齿的炎症已经扩展到了根尖周,那么暂时就不能拔除,必须通过根管治疗痊愈之后再拔掉。

很多人认为智齿的作用并不大,因此都想将智齿拔掉,其实智齿是有作用的,可以帮助稳定牙齿,阻止牙齿过早松动,因此如果智齿是正常长出来,且不存在咬合问题,也没有偶尔疼痛的问题,那么这种情况就不需要担心,不会对日常生活造成影响,就不需要将智齿拔除了。
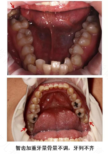
只有当智齿出现严重蛀牙、导致邻牙病变、引发炎症(如牙髓炎、冠周炎等)、智齿阻生以及智齿长出后有不明原因的牙痛等情况,经过咨询医生之后,是可以将智齿拔掉,将因智齿造成的问题能够一次性解决,如果想要拔除智齿,一定要到正规口腔医院就医诊治。
标签:
