
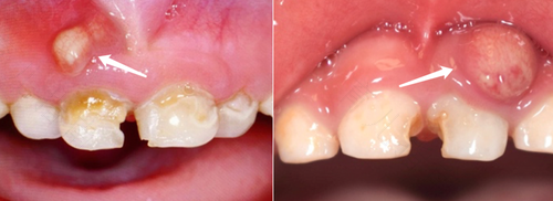
如果牙齿周围的支持细胞丧失,就会造成牙齿松动。所以当发现牙齿松动,就可以初步判定牙龈出现了萎缩。而且如果牙齿有炎症了,也会导致牙龈肿。要么,牙龈肿了个包怎么办?
1.保持清洁

当发现牙龈肿的包不是很严重时,可以不用着急去医院急诊,首先让自己的口腔保持清洁,用正确的刷牙方法清洁牙齿每天两次,比如刷牙时,每一次要刷两分钟以上。横行刷牙是不正确的,要上下刷。
2.注意饮食
当知道牙龈肿了包时,就不要吃一些辛辣、坚硬的食物,更不能吃一些刺激牙龈的食物。它可以多吃一些水果蔬菜,尽量多喝一些白开水,来帮助消除牙龈的炎症,可以帮助减少牙龈肿了包的痛感。
3.医院治疗
牙龈肿的包特别严重的,可以先去找医生检查,吃一些消炎的药。至于牙齿是否拔掉,就更要去正规的医院进行咨询。因为拔牙是需要根据个人的情况来定。比如,如果长的包在牙龈的上面,拔掉牙齿包就会使脓包破了,里面的脓就会流出来。或者,拔牙后会引起败血病,导致病情更加严重。
标签:
