
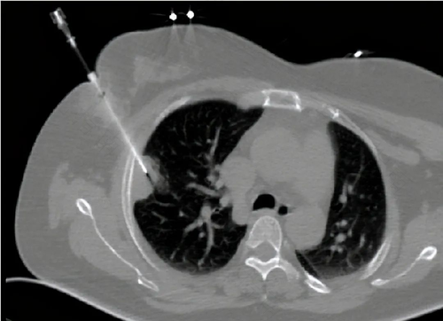
肺穿刺是一种针对肺部问题进行检查的临床检查方式。如果患者肺部有问题,一般徐要听从医生安排进行肺穿刺检查。但是很多患者担心进行肺穿刺检查会有生命危险。那么,进行肺穿刺检查危险吗?
肺穿刺检查由于涉及肺部,所以是存在一定的危险性。面对这种情况,需要医生细心,患者密切配合,才能降低检查风险,提高检查成功率。因此肺穿刺检查时,患者呼吸应该平稳,不要咳嗽。而且在检查前要进行一些列身体检查,一边医生能够正确定位,提高穿刺成功率。
其实,医生进行肺穿刺时,需要吸空支气管内液体进一步检查,确定肺部情况,然后对某些疾病进行治疗,必要时需要注入药物达到治疗目的。虽然患者能够成功做完非穿刺检查,但是肺穿刺检查是有并发症存在的。如果患者一时不注意,容易影响身体恢复。

而肺穿刺检查的并发症有气胸、胸膜腔出血以及其他器官气体栓塞等,其中气胸、肺内出血是最常见的并发症。若是气胸问题,这种情况可自行恢复,患者不用担心。但是如果是肺内出血情况,则需要及时通知医生,及时进行治疗。
标签:
