
牙花上起脓包大家应该都有过吧,如果出现了这样的勤快就说明那你该看医生了,这个症状肯定是有的地方发炎了,需要治疗。牙龈炎对大家的日常生活影响是有很多的。是常见的口腔疾病,是需要尽早的医治。那牙花上长个脓包怎么办呢?
牙花上长个脓包怎么办

第一,应当分清是那种情况造成的牙龈肿痛,才能对症治疗。
第二,牙龈肿痛必须看牙医才能根治,否则以后一旦上火还会疼痛。有的牙龈肿痛经过牙医处理会很快缓解,如智齿冠周炎、根尖周炎等。
第三,暂时不能去医院时,可以使用以下方法可以治疗上火引起的牙龈肿痛。每顿饭之后使用淡盐水漱口,不必很咸,有一点咸味即可。最好能够使用专业漱口水。
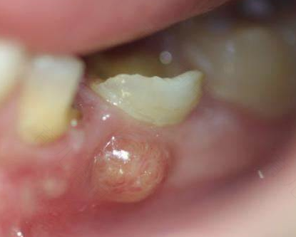
典型的慢性牙髓炎的症状
1、(如果能保留)除非必要,千万不要拔,安在好得假牙都没自己的牙齿好。
2、牙痛,吃药是没有效果的,要结合口腔治疗+吃药。
3、只要问题不大,可以做治疗,然后结合牙龈脓肿切开引流。在引流处上消炎的药。
4、治疗好之后就可以使用。唯一的缺点,就是不能啃硬的东西。至少比安假牙好吧。
5、关键一点,千万不能拖,时间长了容易引起颌骨骨髓炎,半边脸都容易肿。
所以牙龈上长脓包,大多都是因为上火导致的。如果排除上火的可能,那多半就是慢性牙髓炎了,这也会引起牙龈肿痛。所以更要保护好自己的牙齿和口腔,每天的刷牙次数也不可以少,吃过甜食之后,也要注意漱口,清除口腔中的残余。
标签:
