
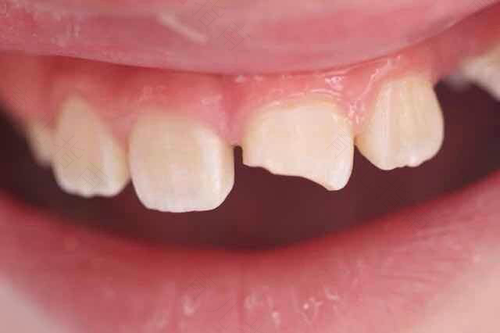
男孩子在十几岁正值叛逆的时候,这个时候也是经常打架的时候。打架最容易伤害到身体,比如说,胳膊,腿,头部等处受伤,还有的人牙齿被掉打了。门牙是最容易被打掉的,门牙一旦掉了,不仅会影响到吃东西,还会影响到容貌,门牙磕掉了怎么办?
门牙磕掉了怎么办

1、第一时间把磕掉的牙齿拾起来,拾起来的时候注意用手捏住牙冠,别伤到牙根。
2、如果牙齿在地上脏了,用清水温和的冲干净, 但是千万不要用肥皂,不要擦洗,不要晾干,更不要用纸巾或布包紧。
3、.马上把牙齿放回到牙槽窝中(轻轻用手指将牙齿推进去,适合年龄小点的孩子),或者是放在洞口,牙齿轻轻的咬合,将牙齿缓慢推入(适合年长的孩子)。之后要一直坚持用手hold住,一定要温柔,不能太用力,直到见到医生。
4、.时刻保持牙齿的湿润(如果无法将牙齿放入牙龈,可放在牛奶里或者生理盐水中)。
5、30分钟内去看牙医(这是离体牙复位的理想时间,随着时间增加或者保存介质不佳,复位成功率将下降)。
牙掉了的修复方法
1、种植牙(费用高,不损伤邻牙)
2、烤瓷连冠修复,(也就是把缺牙两边的牙齿磨小做三个连在一起,现在做的比较多,费用中等)
3、活动义齿(就是带钩的那种,不是很美观,也不方便,但是费用比较低)
一旦出现牙齿掉落的情况,可以根据自己的情况,采取合理的处理措施。平时,一定要保护好牙齿,要注意口腔卫生,早晚刷牙,饭后漱口,尽量少吃甜的食物,尽量少用牙签,多喝水,少喝碳酸饮料,多吃蔬菜水果。
标签:
