
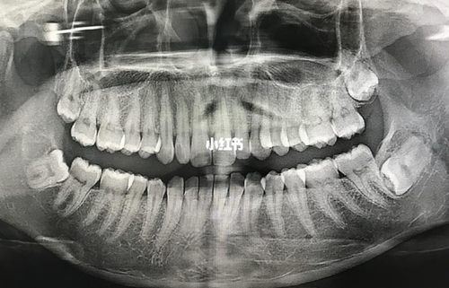
智齿是牙列最后面的牙齿,也叫第三磨牙。多数情况下在成年后萌出,因此而名为智慧齿”。由于每个人的智齿生长情况都不一样,有的萌出异常的智齿是需要拔除的,那么,长在最里面的智齿好拔吗?
长在最里面的智齿如果已完全萌出是比较好拔的,若尚未完全萌出在拔除时会有一定的难度。而且一般上颌最里面的智齿相对要比下颌的好拔。除此以外,还可以根据其生长的方向、牙根的数目等等来判断最里面的智齿好拔与否。
如果最里面的智齿牙根没有弯根的情况下,在拔除过程中也会比较容易一些。但如果出现弯根不仅需要切开牙龈,在拔除时还需要进行止血,这样视野难以看清楚,拔除的过程就会比较有难度。

由于最里面的下颌智齿一般齿根尖多与下颌神经管比较近,为了要避免对下颌神经产生创伤,在拔牙的过程中需要去除骨阻力、软组织阻力之后才能够将智齿完全拔除。一般在拔除智齿后会引起面部五至七天的肿胀,之后会自行消肿,在此期间除了要注意口腔卫生以外,还要按时服用消炎药。
标签:
