
大家上火和感冒都会引起咽喉肿痛,咽喉疼也是很常见的一种病症。虽然不是什么大病,却非常的难受,咽唾沫都疼更别说吃饭了,会直接影响进食,有的时候越是疼就越是想咽口水。就会特别的疼。喉咙严重的话,还会化脓,那么咽喉化脓怎么办?
咽喉化脓怎么办

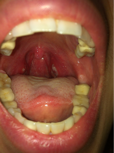
咽喉部化脓性感染,多见于化脓性扁桃腺炎,检查可见增到扁桃体表面覆有脓胎,可出现咽痛,发热,咳嗽,倦怠,食欲不振等症,需要积极抗炎治疗。
咽喉化脓伴有疼痛明显,或者发热的,应该是咽部急性炎症,如急性扁桃体炎等。应该使用抗生素进行治疗。如果无痛,无自觉症状的,或者仅有咽异物感,可能是咽角化症等可以不必治疗。
咽喉化脓应注意什么
出现喉咙发炎,一般是因为病毒或者细菌性感染导致的,这种情况,在饮食上首先要多喝水,多吃一些对喉咙有好处的水果,都有助于恢复。
在日常生活中一定要注意养成良好的日常饮食习惯,避免吃一些辛辣、油腻等刺激性的食物,避免喝咖啡、浓茶等对身体有刺激性的饮料。
避免经常熬夜,避免精神过度紧张,要注意劳逸结合,做到早睡早起,养成正常的生物钟,这样才能尽快消退炎症,同时一定要注意加强体育锻炼,每天保持良好的心情。
人们的生活水平都提高了,压力也就越来越大。必要的时候可以给自己解解压,可以去户外散步,做一些体育活动锻炼锻炼,增强自身的抵抗力。平时多吃一些新鲜的水果蔬菜,来增加营养。咽喉化脓怎么办?上面的文章也做出了一些相关的介绍,希望有所帮助。
标签:
