
在现如今的生活当中,总会有一大部分的人为自己的牙齿正处于痛苦当中,可能是因为蛀牙导致的牙疼,或者是因为长智齿等情况。一般来说,像这样的情况都需要去医院进行拔牙,但是如果说在拨牙后出血不止又应该怎么办呢?
拨牙后出血不止怎么办

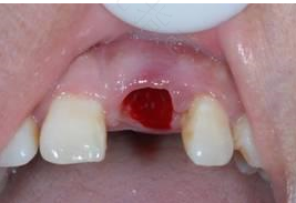
一般正常情况下,拔牙出血是正常的,但多在三十分钟后可以自行止血。而如果拔牙后不注意护理,或是因其它一些原因在拔牙半小时或一小时后还一直流血,那就要马上去医院进行止血治疗,一般是用明胶海棉压迫进行缝合处理。
在就诊前也可以试试这方法能不能止血,就是咬块棉花,两个小时以后再吐掉,注意这时千万不要舔伤口,因为伤口上的血凝块是帮助止血的,如果把血凝块舔掉了更会导致出血不止,如咬棉花还是止不了血,要立刻去医院找医生,医生会查明原因对症治疗的。
拨牙后出血不止的注意事项
拔牙后在24小时内,拔牙创口会有少量渗血,只是口水中有血丝。如果有大量出血即称为拔牙后异常出血,棉球一定要咬紧半小时才有止血效果,不要喝热水和吃热的食物。更不要总是去吸吸创口看还有没有出血,尽量少吐,不要紧张。拔牙当日和次日有血丝都是正常的。拔完牙48小时,口腔内轻微带血,都是正常的。如果出现血量过大最好是去看医生。拔完牙后24小时以内是不要刷牙漱口,会影响牙槽窝内的血凝块,导致出血不止。
那么以上内容便是针对于拔牙这方面的所有知识点了,小编在此希望能对大家有一定的帮助。尤其对于那些刚刚拔完牙的人来说,切记不能吃辛辣食物,要不然很容易引起牙齿的感染,再次出现出血不止的现象,还有也得注意伤口的恢复。
标签:
