
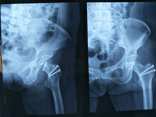
髋关节半脱位是一个十分严重的事情,不仅仅会影响关节活动,而且也会导致局部红肿,胀痛等不适现象,为了防患与未然,及时采取有效的防护措施,避免因为髋关节的脱位影响到正常的日常生活,那么,髋关节半脱位的表现是什么样子的?
1.髋关节在屈曲的部位曾经出现过受伤史,这个是因为在受过伤的地方,很容易产生旧患,而这些情况一般往往是最容易让我们忽视的。

2.髋关节疼痛,产生活动障碍,疼痛的感觉往往让人感觉到十分的不适和难以接受,并且会影响到正常的关节活动。
半脱位的比较明显的特征就是髋关节弹性固定于屈曲,内收,内旋位,等等问题的情况出现,那么如果出现髋关节向外面扩展开来,而且患肢出现了短缩,大而粗,突出隆起等情况,那么就意味着实际上髋关节也是属于半脱位状态了,那么这个情况就是需要十分的认真重视,并且到相应的骨科医院进行就诊和治疗,避免因为拖久出现其他问,这样治疗起来,也有其他的麻烦,还是应该早发现早治疗,争取早日康复。
标签:
