又到了疱疹性咽峡炎的高发季节了,日常可以做好预防,加强身体健康锻炼,定期清理孩子的物品,但如果不小心感染了,怎么让孩子好得快呢?下面小编就带来介绍。
感染疱疹性咽峡炎怎么让孩子好得快
疱疹性咽峡炎,就是“湿热”
简单说,疱疹性咽峡炎的主要病机是:湿热阻滞加上外感风热。
如果孩子中招,就要清热、解毒、祛湿。
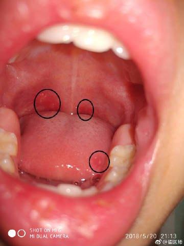
家长越早发现,越早干预,好的越快:
每天用10秒法检查孩子舌苔和口气的时候,加一个动作——查看孩子咽喉部。如果孩子当天咽喉部很红肿,那么就要尽快干预。如果发现白色的小点或者溃疡点,同时孩子有些发热的表现,那么也要马上干预用药。
中成药副作用小,可以选用这些药:
中成药的副作用相对是要小很多的,临床对证多用清热解毒的中成药。可以选用金莲清热泡腾片、蒲地蓝口服液、双黄连口服液、抗病毒口服液、复方鱼腥草颗粒、克感利咽口服液等清热解毒的中成药。需要根据孩子的年龄、体重以及药品说明书给药,3岁内孩子具体用药用量需遵医嘱。
高烧不退,3个方法辅助退烧:
1、小宝宝可以先用小儿推拿的方法来辅助退热:清天河水+退六腑。可以两只手同时做或交替做,一般能够退0.5-1度。但是孩子过一段时间还会再烧,可以继续做。能不用药辅助退烧是最好的。
2、如果小儿推拿退热效果不好,可以用退烧药:美林或泰诺林。根据说明书使用,同时注意补充水分。
3、用三豆饮和食疗粥辅助退热。如果孩子的湿热没有清除,即便用了小儿推拿或退烧药暂时退烧,也会再反复高烧。所以除了用药,可以用三豆饮和食疗粥来积极清热祛湿,同时补充水分,帮助孩子真正退烧。
三豆是扁鹊的名方,临床上多用此方来防治豆疹、疮毒。病程中孩子喉咙痛难进食,饮食要选择流质或半流质的食物。清热的食疗粥可以选用腐竹粥、白扁豆粥、米汤等。
溃疡期,喷喉缓解孩子喉咙疼痛:
孩子喉咙痛,可以给孩子用开喉剑喷雾剂喷喉咙,清热解毒,消肿止痛。
日常如何做好预防措施
定期清洗孩子的玩具以及被褥;
疾病高发期,避免带孩子去人群密集、空气流动性差的场所;
加强体育锻炼,增强免疫力;
可以接种EV71疫苗,预防由EV71病毒引起的手足口病和疱疹性咽峡炎等疾病。
以上就是有关全部内容介绍,想了解更多信息请继续关注。
