平时大家就关注孩子吃饱穿暖,身体健康与否却很少关注孩子的口腔方面的问题,小编就来说说关于孩子牙齿的卫生方面问题吧。
口腔问题或者说口腔疾病其实是一个长期性的症状积累现象所致。口腔疾病是口腔问题的严重性表征,轻微的口腔问题不影响正常的必要生活内容,比如未显露疼痛症状的龋齿不会影响进食,轻微的口气也不会使日常交往显得分外尴尬。
一旦口腔问题上升到疾病层面,难受的体验和生活的干扰就会让我们叫苦不迭,万分后悔当初为什么没有好好对待自己的牙齿。
对于新生儿来说,牙齿还未长出或长全,口腔黏膜柔嫩,血管丰富,唾液腺发育不足,唾液分泌较少,口腔的呵护本应是最值得关注的,口腔的保护也是非常关键的。
宝宝口腔清洁很重要
新生儿宝宝的口腔清洁需要足够的耐心和细心。一般宝妈们都是用纱布蘸水轻轻擦拭宝宝口腔,随着宝宝的成长,宝宝对于这种清洁方式可能就不是很喜欢了,宝妈在清洁的过程中可能还会被宝宝咬到,这个时候,宝妈们可以尝试用硅胶手指牙刷。
大多数宝宝从六个月开始长出第一颗乳牙,一周岁的时候已经有4-10颗牙齿,到了两岁半的时候,20颗牙齿全部出齐。不过,对于两岁前的宝宝来说刷牙不是一件容易的事情,宝宝既不会鼓腮,也不会吐牙膏泡泡,这时候柔软的硅胶手指牙刷就可以派上用场了。
这个时候再配合上可吞咽的牙膏,清洁效果会更好,而且在清洁的过程中还能逐渐培养宝宝对于刷牙的感觉。市面上的普通牙膏大多含有摩擦剂、湿润剂、表面活性剂、粘合剂、香料、甜味剂及其他特殊成分,这将对小宝宝不利。
可吞咽的牙膏不同,它是由一些可食用的成分构成的,比如天然木糖醇、氟化钠等,不含有任何研磨剂、发泡剂、香料和色素,在清洁过程中既能清洁宝宝的牙齿预防龋齿,也不用担心误吞。
以上是对于呵护宝宝口腔卫生的重要性和一些小技巧和小常识的分享。接下来,小编会从如果忽视了对于宝宝口腔的呵护会造成哪些可能的不利后果来唤起大家对于宝宝口腔卫生更大的关注和重视。
宝宝口腔有异味,要警惕是否是牙齿出现问题。宝宝的口腔如果有异味,多半是上火了,但是也有可能是牙齿出现了一些不利症状。家长就需要反思是不是口腔卫生习惯不到位或者忽略了某些口腔的清洁工作。
口腔出现异味一般都不会引起家长的更多关注,可一旦发现这种症状,就应该及时找出原因,优化孩子的口腔卫生。如果不能发现真正的原因,最好还是及时地去医院诊治。
新生儿常见的口腔疾病还有鹅口疮和马牙。相信对于没有养过孩子的人来说,这两种口腔疾病估计都没有听说过,更别提预防了。当真的被这两种口腔疾病盯上之后,可能还会表示没什么大不了或者是无可奈何。因为这两种口腔疾病是真的难以对付。
这里小编还是要向广大宝爸宝妈们重申预防的重要性。
预防孩子口腔问题
真正有效的预防措施还是养成良好的生活习惯,尤其是和口腔有关的习惯。当孩子养成这些习惯之后将会受益终身。
一,接触孩子之前尽量把手洗干净,喂奶前应该洗手并用温水擦干净自己的奶头;
二,喂水的奶瓶和玩具之类的也要经过消毒;这样才能杜绝感染源头。
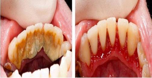
除了上述两种比较难缠的疾病之外,还有一个非常普遍的情况:龋齿。
龋齿也称为蛀牙。经常听说爱吃糖的小孩会长虫牙,这种说法有点道理,但是只要做到以下几点,即使爱吃糖也不长蛀牙。
含有较高糖分的饼干糖果之类的零食吃完之后,容易促进口腔生长、产酸,从而引起蛀牙。因此,在尽量少吃粘滞性高的食物的前提下,吃了这些高糖分的零食之后,及时漱口,防止食物残渣留在牙齿上。
同时,要掌握正确的刷牙方法,并定期去医院做口腔检查。
其实对于宝宝口腔的保护重在平时的良好习惯的养成方面,前期宝爸宝妈对于孩子的口腔细致的清洁,其实也就是在帮助孩子下意识地养成对于口腔保护的态度。等到孩子自己能够运用这些方法处理自己的口腔环境的时候,才是真的全面呵护。
