网友妈妈:宝宝1岁半,1岁1月能走大概2米,到1岁5月还是只能走3米的样子,后发现是足外翻导致走路不稳。宝宝足外翻是怎么回事啊?怎么治疗才好?
儿科医生:宝宝足外翻又叫外翻仰伸足,是指儿童足跟轴向外偏斜,是足部常见畸形之一。足外翻是因为脚部肌腱发育异常导致的一种畸形,同时伴有扁平足和舟骨塌陷,小腿中点、跟腱中心、跟骨中心三点连线呈型。另外,足外翻还会引发踝关节外翻变形。
宝宝足外翻发病原因有人认为是胫前肌紧张所致,被动矫正踝关节时可恢复到中立位90 °。另有人认为由于胎儿在宫内受压致使足外翻,并非胫前肌紧张所致。
其实宝宝足外翻最主要的原因是足部韧带比较松弛,无法承载足弓及足部骨骼之间的连接而造成的塌陷和移位。
怎样诊断宝宝足外翻
1、婴儿出生后即有一侧或双侧足部跖屈内翻畸形。
2、足前部内收内翻,距骨跖屈,跟骨内翻跖屈,跟腱,跖筋膜挛缩。前足变宽,足跟变窄小,足弓高。外踝偏前突出,内踝偏后且不明显。
3、站立行走时跖外缘负重,严重时足背外缘负重,负重区产生滑囊炎和胼胝。
4、单侧畸形,走路跛行,双侧畸形,走路摇摆。
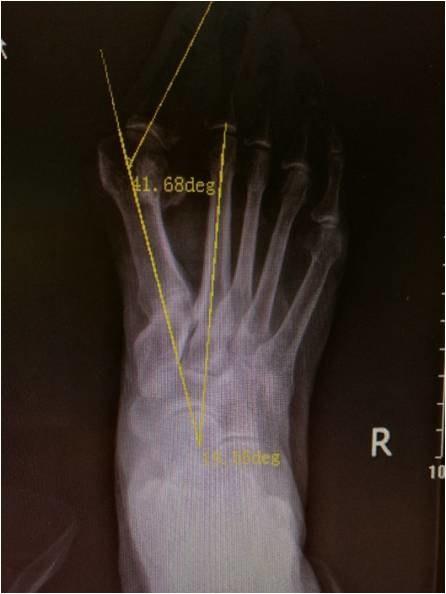
5、X线摄片:距骨与第一跖骨纵轴线交叉成角大于15°,跟骨跖面和距骨纵轴线夹角小于30°。
一岁宝宝宝宝足外翻怎么治 足外翻能治好吗
育儿专家称,新生儿脚外翻是能治好的。一岁宝宝足外翻是不需要做手术的,因为孩子现在年龄还比较小,用按摩和外翻矫形鞋配合在一起矫正就可以了,但是矫正需要坚持,不是一天两天就能好的。手术一般效果并不好,孩子的骨骼还没有发育定型,所以矫正空间是很大的。
孩子足外翻最佳治疗时间当然是越早矫正越好,因为外翻是随着负重的增加越来越严重的。早期的外翻用矫形鞋配合外翻矫形鞋垫就可以矫正过来,把孩子的脚保持在正常的位置,把塌陷的足弓托垫起来,这样孩子在以后的发育过程中就向正确的方向发展了。
视外翻程度而言,轻者常做足部按摩,重者按摩未能纠正,需要订购矫正鞋了。足外翻矫正鞋最佳矫正年龄在1岁左右,年龄越小矫正效果越好的,穿戴矫形鞋的同时,如果能够配合按摩等训练,效果会更好。在没有明确病因和有效治疗之前矫正鞋要一直穿。
宝宝足外翻按摩手法:手法矫正使足下垂、内翻每天坚持百次,随年龄的增长在矫正下可逐渐恢复到正常,也可用踝关节外侧包棉垫的方法,此畸形无论何种方法一般在3个月左右可恢复正常形态,不留后遗症。
