
超声检查参数测量为胎儿体重超声预测提供了可靠的手段,是晚期妊娠超声检查的重要内容。
一、胎儿体重超声预测相关参数
(一)胎头参数

1.BPD BPD是胎儿超声检查体重预测的指标之一,尤其是在26孕周以前,BPD的增长比较稳定,可以获得比较准确的结果。晚期妊娠中胎头发育的差异增加,并且头形和胎位等因素也影响BPD测量的准确性,胎儿体重预测的准确性随之下降。
2.HC HC则不受头形的影响。影响HC预测胎儿体重的主要因素是测量的准确性和胎头的位置。
3.TCD TCD位于颅后窝内,胎头位置、头形及其他软组织的发育状况不会对TCD产生明显的影响。测量时需要良好的软组织对比度和正确地显示、测量小脑横断面;胎头位置过低、枕后位以及孕妇肥胖等会影响小脑的显示和TCD的测量。
(二)腹部参数
1. AC 晚期妊娠过程中胎儿体重的差异主要来自软组织,包括软组织器官的增大、肝糖原储存及脂肪堆积等,而AC正反映这一现象,超声显像检查表现为AC腹围增加,而骨性参数包括股骨长度和双顶径则不受软组织发育的影响。准确地测量AC可以获得更接近真实的胎儿体重;比较BPD、HC、AC、FL,AC估计非巨大儿体重的敏感性为99.6%, 正确率为95.6%;在引入AC参数的回归方程中,87.7%胎儿体重的绝对误差值<±250g,平均相对误差为4.4%;晚期妊娠AC<33cm时不会发生胎儿过重, AC≥35cm时有93%的胎儿体重超重,AC≥37cm时有97.1% 的巨大胎儿。
2. 胎儿肝脏 胎儿肝脏是晚期妊娠过程中影响胎儿体重的重要因素,测量肝脏大小可以用于评估胎儿的营养状态和生长发育情况。孕妇患糖尿病时胎儿肝脏在18孕周以前就大于正常孕妇胎儿(p<0.001),36孕周后可超过正常值的19.3%(p<0.02);而单纯性肥胖孕妇的胎儿肝脏要明显小于糖尿病孕妇胎儿测值(p<0.001)。
胎儿肝脏测量包括:
(1)肝脏长径(LL)、横径(LTD)和前后径(APD): LL为从横膈右侧穹窿部到肝脏下缘的垂直距离;探头与脊柱垂直,显示胎儿肝脏最大横断面,肝脏左右侧外缘之间的垂直距离为LTD;肝脏前后缘之间的垂直距离为APD。肝脏参数测量胎儿体重在2500~4000g时预测的敏感性89%、特异性90%;体重>4000g时敏感性90%、特异性92%;体重<2500g时敏感性86%、特异性87%。
(2)肝脏面积 胎儿肝脏纵向最大切面面积为胎儿肝脏面积(FLA)。FLA预测体重绝对误差≤200g者为77.5% 相对误差≤10%者为80.6% 以FLA≥27cm2预测巨大儿的敏感性为96.9%,特异性为90.9%。
3. 肾脏测量 包括肾脏长度(FKL)和肾脏体积(FRV)测量(图1)。FKL与胎儿体重有很好的相关性。FRV也与胎儿体重有关。在IUGR中,FRV也可以作为胎儿体重的评估指标。

图1胎儿肾脏测量
(三)其他参数
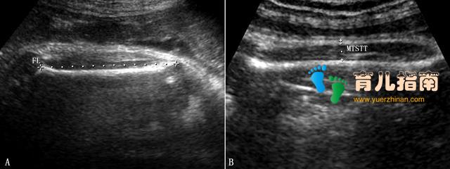
1. FL FL是胎儿具有代表性的骨性结构,发育稳定,标识明确,容易识别和测量。FL用于胎儿体重评估的最佳时期是中期妊娠及晚期妊娠的早期。
2.锁骨长度 FCL与胎儿体重显示了良好的相关性(r 2 = 0.979, P < 0.001)。
3.皮下软组织厚度 胎儿软组织是影响胎儿体重的重要因素。脂肪组织厚度是反映胎儿出生体重的一个良好的独立性指标。
(1)大腿中部皮下组织厚度 测量股中部股骨表面至皮肤表面的距离(图2)其与胎儿体重具有良好的相关性((r 2 =0.656, p<0.001)。当MTSTT为15mm时,对正常范围的出生体重预测的敏感性和特异性可达87%和89%;20mm时诊断巨大儿的敏感性为91%、特异性为94%。

图2大腿中部皮下组织厚度测量
(2)肱骨中部皮下软组织厚度 肱骨中部横断面骨边缘至皮肤表面的距离为肱骨皮下软组织厚度(HSTT)。可以预测巨大儿和肩难产; HSTT预测巨大儿的敏感性88%,特异性75%。
(3)腹部皮下软组织厚度:腹围测量平面前腹壁外缘至肋骨外缘的垂直距离为腹部皮下软组织厚度(ASTT)。在晚期妊娠中,当胎儿腹部皮下软组织厚度<5 mm时,宫内发育迟缓的发生率较腹壁皮下软组织厚度≥5mm 者高5倍,而腹壁皮下软组织>5mm 宫内发育迟缓的新生儿无任何并发症发生。
二、胎儿体重超声预测方法
国内外很多研究进行了多种探讨,获得多种参数与体重的相关性和估测胎儿体重的公式。需要注意的是每一种预测公式都是在一定的孕龄、参数范围内具有相对准确的预测范围。
(一)单参数估测法
单参数测量评估胎儿体重是常用的UEFW的方法,超声检查仪器内置的UEFW以单参数多见,操作方便、简单,为胎儿发育提供基本的评估方法或进一步检查的线索。但单参数评估胎儿体重很难全面、准确地反映胎儿发育状况,不可避免地出现胎儿体重估测的差异。
各单项指标中以各参数与胎儿体重呈线性关系为基础。但各参数在不同的妊娠期生长速度有一定的变化,由此可影响胎儿体重预测的准确性。单参数中以腹围预测胎儿体相对敏感和准确。
(二)双参数估测法
常用的双参数组合如下。
1.BPD + AC BPD + AC双参数联合测量预测胎儿体重,与胎儿出生体重进行比较发现误差较大,准确性没有达到期望的结果。
2.HC + AC AC对于BPD的预测孕龄的优越性已于前述,同样,研究者也期望在体重预测中HC也优于BPD。但对照研究没有显示HC + AC优于BPD + AC。
3.AC + FL 胎儿软组织和身高在晚期妊娠中对胎儿体重的影响较大,AC + FL预测胎儿体重的准确性比较高,在胎儿体重变异比较大的晚期妊娠中及巨大儿的体重预测中更具优势。
4.FL + 大腿横断面面积(CSAT)及FL + MTSTT 考虑到胎头和胎儿躯干测量的参数易受胎位和胎儿体位的影响,在胎儿头部和腹部显示欠佳的情况下具有特殊的应用价值。
(三)多参数预测法
不同的组合和计算方法证明BPD、HC、AC、FL及软组织厚度等多项指标的联合应用较单项指标能更准确地估测胎儿体重。很多研究获得的结论基本一致,肯定了多参数综合测量的优势及不同测量公式的应用价值和范围。
现代超声仪器尤其是产科专用或侧重于产科检查的仪器多数内置了单参数、双参数和多参数等不同的多种胎儿体重预测公式,除超声检查医生可以选择适合的公式外,仪器还可以根据检查时获得的参数的多少、参数的种类智能地提供不同的计算公式预测胎儿体重。
(四)容积技术
胎儿容积与胎儿体重的关系更为密切。常用的有肢体周径、上臂容积、大腿容积、腹部容积、小脑容积、肾上腺容积、肺容积、肝脏容积等。三维超声检查容积参数或和二维超声检查参数结合使用的对比研究也显示了三维容积技术预测胎儿体重优于单独二维超声检查。但三维超声检查操作及后处理复杂,费时,影响了临床推广应用。
(五)人工神经网络技术
由专业的软件人员根据临床要求设计软件,输入一系列数据通过复杂的运算、调整和综合分析获取胎儿体重预测值,在一定程度上减少了超声测量胎儿生理参数公式计算中的数据误差。研究者选用选用胎BPD、TCD、FLL、FL、AC、HC、MTSTT以及孕龄(天)7个参数为网络输入,与多种超声参数回归方程法比较,人工神经网络预测胎儿体重方法显示了明显的优越性(p<0.05)。
三、影响超声估测胎儿体重准确性的因素
很多因素可以影响UEFW的准确性。除上述各项参数规范、准确的测量外,胎位、孕龄羊水量等均有可能影响胎儿结构的显示和测量以及测量的准确性;孕妇的胖瘦、腹部脂肪的多寡可影响胎儿解剖结构的显示和辨认、超声检查的图像质量、测量切面不标准而影响参数的测量;超声医师操作的标准化和熟练程度可影响测量数据的准确性,直接影响胎儿体重估测的准确性。应用超声估测胎儿体重的方法是在假设胎儿组织密度一致、胎儿结构线性发育的基础上进行的,由此也会引起胎儿体重估测误差。
种族的差异和胎儿性别差异也比较明显,使用一种胎儿发育评估方法或有较大的误差,有必要总结、探索适合本区域的胎儿发育评估资料和方法。
四、胎儿出生体重预测
利用胎儿体重相关指数(FRWI)可以在中晚期妊娠过程中的任意时期内对胎儿出生体重(FBW)进行预测。其方法是利用超声显像检查所测得的指标计算检查时的胎儿体重(UEFW),将此体重与相同时期的胎儿标准体重(SFW)进行比较获得FRWI,即UEFW/SFW,以FRWI乘胎儿出生时的标准体重(SBW),即可估计胎儿出生时的体重(FBW)。
明白白做超声(二十):胎儿发育超声评估3—胎儿体重预测
超声检查参数测量为胎儿体重超声预测提供了可靠的手段,是晚期妊娠超声检查的重要内容。
一、胎儿体重超声预测相关参数
(一)胎头参数
1.BPD BPD是胎儿超声检查体重预测的指标之一,尤其是在26孕周以前,BPD的增长比较稳定,可以获得比较准确的结果。晚期妊娠中胎头发育的差异增加,并且头形和胎位等因素也影响BPD测量的准确性,胎儿体重预测的准确性随之下降。
2.HC HC则不受头形的影响。影响HC预测胎儿体重的主要因素是测量的准确性和胎头的位置。
3.TCD TCD位于颅后窝内,胎头位置、头形及其他软组织的发育状况不会对TCD产生明显的影响。测量时需要良好的软组织对比度和正确地显示、测量小脑横断面;胎头位置过低、枕后位以及孕妇肥胖等会影响小脑的显示和TCD的测量。
(二)腹部参数
1. AC 晚期妊娠过程中胎儿体重的差异主要来自软组织,包括软组织器官的增大、肝糖原储存及脂肪堆积等,而AC正反映这一现象,超声显像检查表现为AC腹围增加,而骨性参数包括股骨长度和双顶径则不受软组织发育的影响。准确地测量AC可以获得更接近真实的胎儿体重;比较BPD、HC、AC、FL,AC估计非巨大儿体重的敏感性为99.6%, 正确率为95.6%;在引入AC参数的回归方程中,87.7%胎儿体重的绝对误差值<±250g,平均相对误差为4.4%;晚期妊娠AC<33cm时不会发生胎儿过重, AC≥35cm时有93%的胎儿体重超重,AC≥37cm时有97.1% 的巨大胎儿。
2. 胎儿肝脏 胎儿肝脏是晚期妊娠过程中影响胎儿体重的重要因素,测量肝脏大小可以用于评估胎儿的营养状态和生长发育情况。孕妇患糖尿病时胎儿肝脏在18孕周以前就大于正常孕妇胎儿(p<0.001),36孕周后可超过正常值的19.3%(p<0.02);而单纯性肥胖孕妇的胎儿肝脏要明显小于糖尿病孕妇胎儿测值(p<0.001)。
胎儿肝脏测量包括:
(1)肝脏长径(LL)、横径(LTD)和前后径(APD): LL为从横膈右侧穹窿部到肝脏下缘的垂直距离;探头与脊柱垂直,显示胎儿肝脏最大横断面,肝脏左右侧外缘之间的垂直距离为LTD;肝脏前后缘之间的垂直距离为APD。肝脏参数测量胎儿体重在2500~4000g时预测的敏感性89%、特异性90%;体重>4000g时敏感性90%、特异性92%;体重<2500g时敏感性86%、特异性87%。
(2)肝脏面积 胎儿肝脏纵向最大切面面积为胎儿肝脏面积(FLA)。FLA预测体重绝对误差≤200g者为77.5% 相对误差≤10%者为80.6% 以FLA≥27cm2预测巨大儿的敏感性为96.9%,特异性为90.9%。
3. 肾脏测量 包括肾脏长度(FKL)和肾脏体积(FRV)测量(图1)。FKL与胎儿体重有很好的相关性。FRV也与胎儿体重有关。在IUGR中,FRV也可以作为胎儿体重的评估指标。

图1胎儿肾脏测量
(三)其他参数
1. FL FL是胎儿具有代表性的骨性结构,发育稳定,标识明确,容易识别和测量。FL用于胎儿体重评估的最佳时期是中期妊娠及晚期妊娠的早期。
2.锁骨长度 FCL与胎儿体重显示了良好的相关性(r 2 = 0.979, P < 0.001)。
3.皮下软组织厚度 胎儿软组织是影响胎儿体重的重要因素。脂肪组织厚度是反映胎儿出生体重的一个良好的独立性指标。
(1)大腿中部皮下组织厚度 测量股中部股骨表面至皮肤表面的距离(图2)其与胎儿体重具有良好的相关性((r 2 =0.656, p<0.001)。当MTSTT为15mm时,对正常范围的出生体重预测的敏感性和特异性可达87%和89%;20mm时诊断巨大儿的敏感性为91%、特异性为94%。

图2大腿中部皮下组织厚度测量
(2)肱骨中部皮下软组织厚度 肱骨中部横断面骨边缘至皮肤表面的距离为肱骨皮下软组织厚度(HSTT)。可以预测巨大儿和肩难产; HSTT预测巨大儿的敏感性88%,特异性75%。
(3)腹部皮下软组织厚度:腹围测量平面前腹壁外缘至肋骨外缘的垂直距离为腹部皮下软组织厚度(ASTT)。在晚期妊娠中,当胎儿腹部皮下软组织厚度<5 mm时,宫内发育迟缓的发生率较腹壁皮下软组织厚度≥5mm 者高5倍,而腹壁皮下软组织>5mm 宫内发育迟缓的新生儿无任何并发症发生。
二、胎儿体重超声预测方法
国内外很多研究进行了多种探讨,获得多种参数与体重的相关性和估测胎儿体重的公式。需要注意的是每一种预测公式都是在一定的孕龄、参数范围内具有相对准确的预测范围。
(一)单参数估测法
单参数测量评估胎儿体重是常用的UEFW的方法,超声检查仪器内置的UEFW以单参数多见,操作方便、简单,为胎儿发育提供基本的评估方法或进一步检查的线索。但单参数评估胎儿体重很难全面、准确地反映胎儿发育状况,不可避免地出现胎儿体重估测的差异。
各单项指标中以各参数与胎儿体重呈线性关系为基础。但各参数在不同的妊娠期生长速度有一定的变化,由此可影响胎儿体重预测的准确性。单参数中以腹围预测胎儿体相对敏感和准确。
(二)双参数估测法
常用的双参数组合如下。
1.BPD + AC BPD + AC双参数联合测量预测胎儿体重,与胎儿出生体重进行比较发现误差较大,准确性没有达到期望的结果。
2.HC + AC AC对于BPD的预测孕龄的优越性已于前述,同样,研究者也期望在体重预测中HC也优于BPD。但对照研究没有显示HC + AC优于BPD + AC。
3.AC + FL 胎儿软组织和身高在晚期妊娠中对胎儿体重的影响较大,AC + FL预测胎儿体重的准确性比较高,在胎儿体重变异比较大的晚期妊娠中及巨大儿的体重预测中更具优势。
4.FL + 大腿横断面面积(CSAT)及FL + MTSTT 考虑到胎头和胎儿躯干测量的参数易受胎位和胎儿体位的影响,在胎儿头部和腹部显示欠佳的情况下具有特殊的应用价值。
(三)多参数预测法
不同的组合和计算方法证明BPD、HC、AC、FL及软组织厚度等多项指标的联合应用较单项指标能更准确地估测胎儿体重。很多研究获得的结论基本一致,肯定了多参数综合测量的优势及不同测量公式的应用价值和范围。
现代超声仪器尤其是产科专用或侧重于产科检查的仪器多数内置了单参数、双参数和多参数等不同的多种胎儿体重预测公式,除超声检查医生可以选择适合的公式外,仪器还可以根据检查时获得的参数的多少、参数的种类智能地提供不同的计算公式预测胎儿体重。
(四)容积技术
胎儿容积与胎儿体重的关系更为密切。常用的有肢体周径、上臂容积、大腿容积、腹部容积、小脑容积、肾上腺容积、肺容积、肝脏容积等。三维超声检查容积参数或和二维超声检查参数结合使用的对比研究也显示了三维容积技术预测胎儿体重优于单独二维超声检查。但三维超声检查操作及后处理复杂,费时,影响了临床推广应用。
(五)人工神经网络技术
由专业的软件人员根据临床要求设计软件,输入一系列数据通过复杂的运算、调整和综合分析获取胎儿体重预测值,在一定程度上减少了超声测量胎儿生理参数公式计算中的数据误差。研究者选用选用胎BPD、TCD、FLL、FL、AC、HC、MTSTT以及孕龄(天)7个参数为网络输入,与多种超声参数回归方程法比较,人工神经网络预测胎儿体重方法显示了明显的优越性(p<0.05)。
三、影响超声估测胎儿体重准确性的因素
很多因素可以影响UEFW的准确性。除上述各项参数规范、准确的测量外,胎位、孕龄羊水量等均有可能影响胎儿结构的显示和测量以及测量的准确性;孕妇的胖瘦、腹部脂肪的多寡可影响胎儿解剖结构的显示和辨认、超声检查的图像质量、测量切面不标准而影响参数的测量;超声医师操作的标准化和熟练程度可影响测量数据的准确性,直接影响胎儿体重估测的准确性。应用超声估测胎儿体重的方法是在假设胎儿组织密度一致、胎儿结构线性发育的基础上进行的,由此也会引起胎儿体重估测误差。
种族的差异和胎儿性别差异也比较明显,使用一种胎儿发育评估方法或有较大的误差,有必要总结、探索适合本区域的胎儿发育评估资料和方法。
四、胎儿出生体重预测
利用胎儿体重相关指数(FRWI)可以在中晚期妊娠过程中的任意时期内对胎儿出生体重(FBW)进行预测。其方法是利用超声显像检查所测得的指标计算检查时的胎儿体重(UEFW),将此体重与相同时期的胎儿标准体重(SFW)进行比较获得FRWI,即UEFW/SFW,以FRWI乘胎儿出生时的标准体重(SBW),即可估计胎儿出生时的体重(FBW)。
