小儿脑发育不良
别太着急 大脑神经系统都是后天发育成熟的 只要照顾得好让孩子多动动脑是可以把脑先天不足补回来的 照顾好了可以避免后遗症的
如何检查脑发育不良
测头围,与正常值比较;或去医院测智商,看是否智力低下。大脑发育不良主要的临床发现表现有:智力发育障碍、听力障碍、发育迟缓,轻者智力接近正常或低下,多言多语或沉默寡言、多动或呆滞、动作不避亲疏、注意力难以集中,让医生检查是否有这些症状。
婴儿脑发育不良表现
这位家长你好,主要表现在以下几个方面:
1、运动障碍:小儿脑发育不全患儿的运动能力低于同年龄的正常孩子,运动自我控制能力差。障碍程度轻的只是手、脚动作稍显得不灵活或笨拙,严重的则双手不会抓东西,双脚不会行走,有的甚至不会翻身,不会坐起,不会站立,不会正常的咀嚼和吞咽。
2、姿势障碍:小儿脑发育不全患儿身体的各种姿势异常,姿势的稳定性差,在运动时或静止时姿势别扭,左右两侧不对称,有些严重的病例头部常不能像正常的孩子那样处于坚直正中位置,而是习惯于偏向一侧,或者左右前后摇晃。
3、智力障碍及知觉障碍:在所有的小儿脑发育不全患儿中,智力正常的孩子约占有1/4,智力轻度、中度不足的约占1/2,重度智力不足的约占1/4。知觉障碍:大部分患者对刺激过敏或无反应;有的出现知觉固定,背景和图形紊乱。
哪几项检查可用来判定脑发育不良的出现呢?
病情分析:你好!检查脑发育不良可以从几下几种方法进行诊断:
1.新生儿常规血尿便检查、生化电解质检查。
2.母亲与新生儿血型检查、胆红素定性试验、血清总胆红素定量。
3.高龄产妇产前羊水基因、染色体、免疫学检查。
4.颅脑CT主要用于明确有无器质性病变及病变部位等。常见的异常包括广泛性脑瘫、脑软化及白质发育不良等。对于部分病例可用于提示病因,如先天性脑发育畸形、宫内感染等。
5.脑电图(EEG):约有80%的脑发育不良患儿有脑电波异常。
意见建议:希望能帮到你!祝早日恢复健康
怎样检查胎儿小脑萎缩 胎儿多大能检查出来
没有必要检查
只要你摄取的营养够充足
胎儿就不会出现小脑萎缩的情况
小儿脑发育不良的诊断方法是什么?
新生儿脑发育不良的诊断方法是什么?由于婴幼儿期的精神和身体发育速度存在着个体差异,故除参考正常儿童发育标准外,还需结合详细的养育史和家庭环境,社会环境等因素,进行综合判断。那么,新生儿脑发育不良的诊断方法是什么?以下就是我们的权威专家针对脑发育不良的诊断方法给大家进行详细介绍。 新生儿脑发育不良的诊断方法是什么? 1、CT、MRI扫描:根据病变处密度增高这一现象,CT、MRI扫描可扫描出各层次具体的内部结构和脑组织的不同图像,进而进行诊断有无脑发育不全。 2、X射线头颅平片:为脑发育不全的诊断提供颅压增高及定位的证据。 3、超声波诊断:中线波向健侧移位。通过观察B超断层现象判断占位病变位置的大小,这也是脑发育不全的先进诊断方法。 4、放射性同位素脑扫描,可见同位素浓集现象。 5、检查有无浅表淋巴结肿大,并结合病史,进行具体神经系统诊断。》》》想要了解更多关于治疗脑发育不良疾病的知识, 点击此处咨询相关专家》》》 目前治疗脑发育不全最好的方法就是神经组织修复疗法: 神经组织修复疗法,就是从神经系统疾病的根源入手,通过患者自身修复对神经系统具有重要再生促进作用的神经细胞,通过靶向定位、微创介入或穿刺的方式,注入患者体内。神经细胞通过血液循环穿过血-脑屏障,促进神经元和神经胶质细胞的再生,促进受损神经细胞的修复,产生神经营养物质供给体内神经细胞,健康的神经细胞修复、替代受损、凋亡的神经细胞,逐渐恢复患者神经系统的正常功能。 新生儿脑发育不良的诊断方法是什么?以上就是关于脑发育不良的诊断方法给大家的详细介绍了,相信大家对此已经有所了解了,希望能够给您带来帮助。神经组织修复疗法是治疗脑发育不良最好的方法,希望给患者带来帮助。如果您还有哪些地方不明白,可以咨询我们的在线专家,我们将竭诚为您服务。 推荐相关阅读:脑发育不良治疗效果好的医院脑发育不良治疗的医院哪家好儿童脑发育不良怎么治疗好?小儿大脑发育不良要怎么治疗?治疗脑发育不良最好的医院在哪
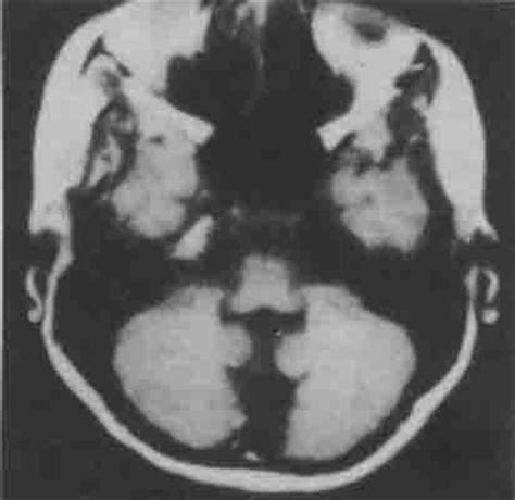
孩子怎么了?【是小脑发育不良吗?】
我看了你孩子的MRI,是个小脑发育不良,主要是影响平衡功能,所以孩子不会走,应该进行康复治疗,小脑发育不全一般不影响智力。
(商淑云大夫郑重提醒:因不能面诊患者,无法全面了解病情,以上建议仅供参考,具体诊疗请一定到医院在医生指导下进行!)
我怀孕了四十多天了,昨天检查说发育不良,能看出来吗?
客观的讲目前还看不出胎儿发育是否良好。建议一周后复查,一般一周之后话是可以看到卵黄囊及胚芽的。有时这些人专门在吓唬孕妇。
