现在不少人都有牙痛的隐患,甚至有的人半夜都会牙痛,不过去牙医院牙医医生说要杀神经,这是什么意思呢,为什么要杀神经,小编就来说说吧。
什么是牙神经?
牙齿的外层组织牙釉质非常坚硬耐磨,是人体中最坚硬的组织,然而在坚强的外表下,是“一颗柔弱的内心”,牙齿内部是一个空腔,分布着许多血管和神经,也就是“牙髓”,俗称“牙神经”。

每颗牙的牙髓独立存在,乳牙有乳牙的牙髓,恒牙有恒牙的牙髓,所以乳牙摘除牙髓后,恒牙还会有正常的牙髓。牙髓中的丰富血供不仅为牙髓本身提供充足的营养,还可为周围的牙本质提供营养物质。牙髓中的神经可感受施加于牙齿的冷、热、压力等刺激,并将这些感觉均作为痛觉反应于中枢神经,对牙齿有保护作用。
什么是杀神经?
杀神经学名根管治疗术,是国际上最常用的牙髓病和根尖周病的有效治疗方法。其原理是通过机械和化学方法去除根管内的有炎症的牙髓组织和病原物,并把感染的髓腔消毒灭菌,然后通过充填根管封闭冠部,恢复牙体外形,防止发生根尖周病或促进已发生的根尖周病的愈合。
什么情况下要杀神经?
各种原因如龋病、牙外伤等引起的牙髓病和根尖周病;牙体手术或外伤等导致的牙髓暴露等,一般都需要做根管治疗。
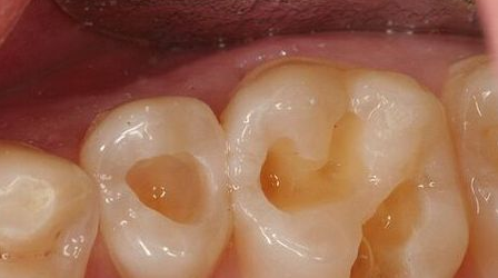
拿你的虫牙做个例子。开始刚有黑点时,龋坏组织较小、没有伤及牙髓,只需看牙医一次,简单充填龋洞即可,也就是补牙,不需要杀神经。可惜你对龋病重视程度不够,没及时看牙医,龋病进展为牙髓炎,就只能杀神经了。

还有一种情况需要注意的就是牙震荡,它是牙外伤的一种,只影响牙周膜和牙髓,通常不伴有牙齿硬组织缺损或牙齿脱位,因此很容易被忽视。牙震荡处理不当,可能导致牙髓坏死,需要作根管治疗。所以牙外伤后必须去看牙医,并定期复查。
问题四、杀神经疼不疼?
相信很多人都怕看牙医,特别是怕杀神经!在进行杀神经治疗时,孩子的哭闹声和着电钻的嗡嗡声,绝对不亚于装修!可是,孩子哭闹真的是因为杀神经很疼吗?还是出于对医生和治疗的恐惧?
据报道,根管治疗过程中有13%的患者会出现不同程度的疼痛反应。也就是说,如果不打麻药,会有一部分患者觉得杀神经很疼。可是,哪个医生会不给你打麻药呢?在局部麻醉下进行杀神经,真的没什么疼痛感。先进的无痛技术已广泛应用到牙科的各种治疗中。
问题五、杀神经有什么危害吗?
根管治疗能消除牙疼,消除牙髓腔内的炎症感染,防止疾病恶化,最大限度保存患牙的完整性。但根管治疗后,牙齿会因为失去血管的营养和神经的保护而变得容易折断劈裂,因此在治疗后需要遵医嘱及时行牙冠修复。
