不少妈妈发现孩子在乳牙没掉时却长出新牙了,宝宝乳牙没掉又长新牙怎么回事,家长应该如何处理呢?一般乳牙掉了多久长新牙。
乳牙没掉又长新牙怎么办
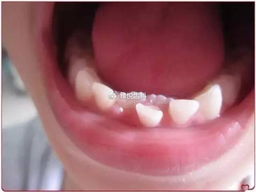
儿童在换牙的时候,家长们要及时观察孩子的牙齿生长情况,如果孩子的牙齿出现了新牙而乳牙没有及时掉落,这个时候可以先观察一段时间,看看孩子乳牙是否已经松动,如果新牙已经长出来了一些,就要拔掉乳牙,否则影响孩子的正常生长。
如果家长碰到小孩乳牙到期不掉,应该及时到医院去检查治疗。对于恒压已经萌出但乳牙仍未脱落的滞留牙,应该尽早拔出,一面影响恒压的正常位置的生长。
注意:如果超过换牙年龄的孩子乳牙仍然没有脱落,而恒压也没有长出来,那么就不要轻易拔掉乳牙,假若恒压先天缺失,应该尽量保持乳牙。
乳牙掉了多久长新牙
一般新牙的萌出主要看牙胚的发育情况,当牙胚发育到一定的程度时就会长出新牙,因此,新牙的长出与乳牙的脱落没有确定的时间上的关系。一般来说几个月之类就能完全长出新牙。
乳牙早失有什么危害呢
恒牙萌出困难或拥挤:引起邻牙倾斜移位,对颌牙伸长,使得缺牙间隙变小,从而造成恒牙萌出困难或拥挤。
恒牙过早萌出:早萌的恒牙牙根未发育,咬硬物时可导致其松动,甚至脱落。
恒牙发育问题:过早萌出的恒牙表面釉质发育不成熟,钙化差易患龋。
