疱疹性咽峡炎是由肠道病毒引起的一种急性传染性咽颊炎,目前正是高发期,孩子很容易患上,会引起小儿发烧,咽喉部溃疡等症状,那么,孩子得了疱疹性咽峡炎怎么办?接下来小编就来说说。
小儿疱疹性咽峡炎的症状
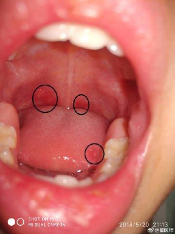
1、疱疹、溃疡:一般在孩子发烧的1—2天之内,孩子的咽喉部会有灰白色的小疱疹,随后这些疱疹会爆开形成溃疡,呈化脓性的白斑。
除了孩子的咽喉部之外,软腭、舌头等其他口腔部位也会出现这些疱疹和溃疡,由于这些病症非常的疼痛,有些孩子会有不愿意吃饭的情况,严重的也会出现呕吐、厌食的情况。
2、发烧、流口水:如果孩子突然之间发高烧,体温在24小时到28小时之内一下子上升到39摄氏度到41摄氏度,同时伴有咽痛、流口水等症状,有些孩子还会伴有呕吐、抽搐的现象,那么这时候家长一定要注意。
导致疱疹性咽峡炎的原因
导致患疱疹性咽峡炎的原因,主要是肠道病毒而引起,而肠道病毒的来源,大多是由于家长的护理不当,所导致的,换言之,也就是说孩子的病症是由家长传染的可能性比较大,多由家长或者成年人的唾液或者唾液飞沫所传染。
除此之外,还有以下原因:
1、室内空气不流通
到了冬季,可能家家户户都门窗紧闭,因为外面的冷空气进入房间内,就会非常冷,尤其是有小孩子的家庭,尤其害怕孩子感冒发烧,但是空气不流通,细菌就会进入孩子的呼吸道,引起病毒感染。

2、和孩子共用一套餐具
孩子的身体比较娇嫩,和成年人相比差别很大,但是一些家庭所用的餐具,并没有合理的划分出来,而是大人和孩子共用一套餐具,那么长此以往,大人身体内所携带的细菌病毒,可能就会传染给孩子,引起疱疹性咽峡炎。
孩子得了疱疹性咽峡炎怎么办
1、一般治疗
注意隔离,避免交叉感染。适当休息,做好口腔护理。吞咽困难者短期予静脉输液支持。
2、对症治疗
发热等症状采用解热镇痛药和/或清热解毒中药治疗,咽痛明显者可局部使用口腔喷雾剂。
3、密切观察
因疱疹性咽峡炎与手足口病病原重叠,个别病例有发展成为手足口病的风险。
4、谨慎用药
一般情况下,不需要预防性应用抗菌素。
5、合并处理
如果合并扁桃体化脓性感染,血常规中性粒细胞比例和计数升高者可给予大环内酯类抗菌素如阿奇霉素或1、2代头孢菌素类抗生素3-5天。
开始出现发烧症状的24小时内尽可能自己护理,24小时以后如果再不放心,可以去医院接受医生的专业诊疗。
疱疹性咽峡炎是病毒所致,服用抗生素无效,所以不要给宝宝用抗生素!由于目前没有治疗疱疹性咽颊炎的特效药,所以做好预防非常关键。家长们要注意:平时给宝宝勤洗手、吃熟食、喝干净水;均衡膳食营养搭配和充足的休息,注意室内通风换气、勤晒衣被、消毒玩具哦。
